Pose d’implants dentaires
La mise en place chirurgicale des implants peut paraître impressionnante. Il s’agit pourtant d’une intervention relativement rapide dont les suites se déroulent très bien, dans la grande majorité des cas.
Mise en place des implants dans une clinique ou au cabinet dentaire
La mise en place d’implants nécessite une asepsie opératoire rigoureuse. Elle peut être réalisée au cabinet ou en bloc opératoire en fonction des habitudes du chirurgien et de la configuration de son cabinet.
La mise en place de l’implant
Une anesthésie locale est réalisée. La gencive est incisée et dégagée pour avoir accès au site osseux où la pose de l’implant est prévue.
La fermeture du site chirurgical
Une fois le ou les implants mis en place, le site d’intervention est soigneusement refermé afin de permettre à l’implant de s’intégrer totalement à l’os de la mâchoire.
Deux options de fermeture sont possibles :
1ère option : Technique en deux temps (avec enfouissement total de l’implant)
Après la pose de l’implant, une vis de couverture est alors placée. Il s’agit d’une vis plate ou légèrement cylindrique, réalisée en titane médical, dont la partie basse est vissée dans le filetage de l’implant. La gencive est suturée et l’implant est donc complètement inclus dans la gencive, ce qui va permettre une bonne cicatrisation de la masse osseuse ainsi que de la muqueuse gingivale.
Après une période de cicatrisation de 4 à 6 mois et un contrôle radiologique, cette vis est enlevée pour dégager la tête de l’implant et mettre en place la vis de cicatrisation, qui va guider la cicatrisation de la muqueuse autour de l’implant. Puis le pilier implantaire sera vissé sur l’implant afin de recevoir la prothèse, scellée ou vissée (dans le cas de prothèse transvissée).
L’utilisation de la technique en deux temps est liée à certains paramètres propres au patient (qualité osseuse, nécessité d’une augmentation préalable du tissu osseux, passé tabagique…)
2ème option : Technique en un temps (sans enfouissement total des implants) La gencive est suturée en laissant dépasser la tête de l’implant et une vis de cicatrisation est mise en place. Cette technique permet d’éviter une deuxième étape chirurgicale pour dégager la tête de l’implant. En revanche, l’implant est moins bien protégé pendant la période d’intégration osseuse. Cette option est réservée aux cas les plus favorables.
La phase de cicatrisation (ostéointégration) sera la même dans les deux cas, entre 4 et 6 mois.
Nos conseils :
- Pour que la cicatrisation se déroule dans les meilleures conditions, respectez bien nos prescriptions.
- Une hygiène bucco-dentaire rigoureuse est indispensable pour la bonne intégration des implants.
- Dans de rares cas l’implant peut être rejeté. Un nouvel implant sera alors mis en place.
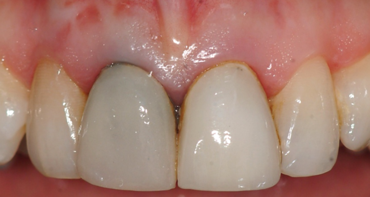
Cas clinique
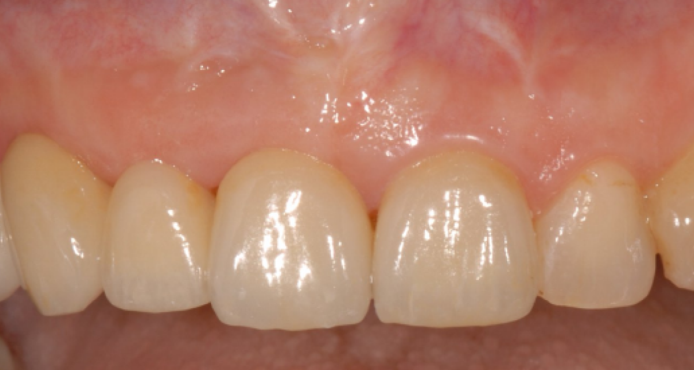
Cas clinique
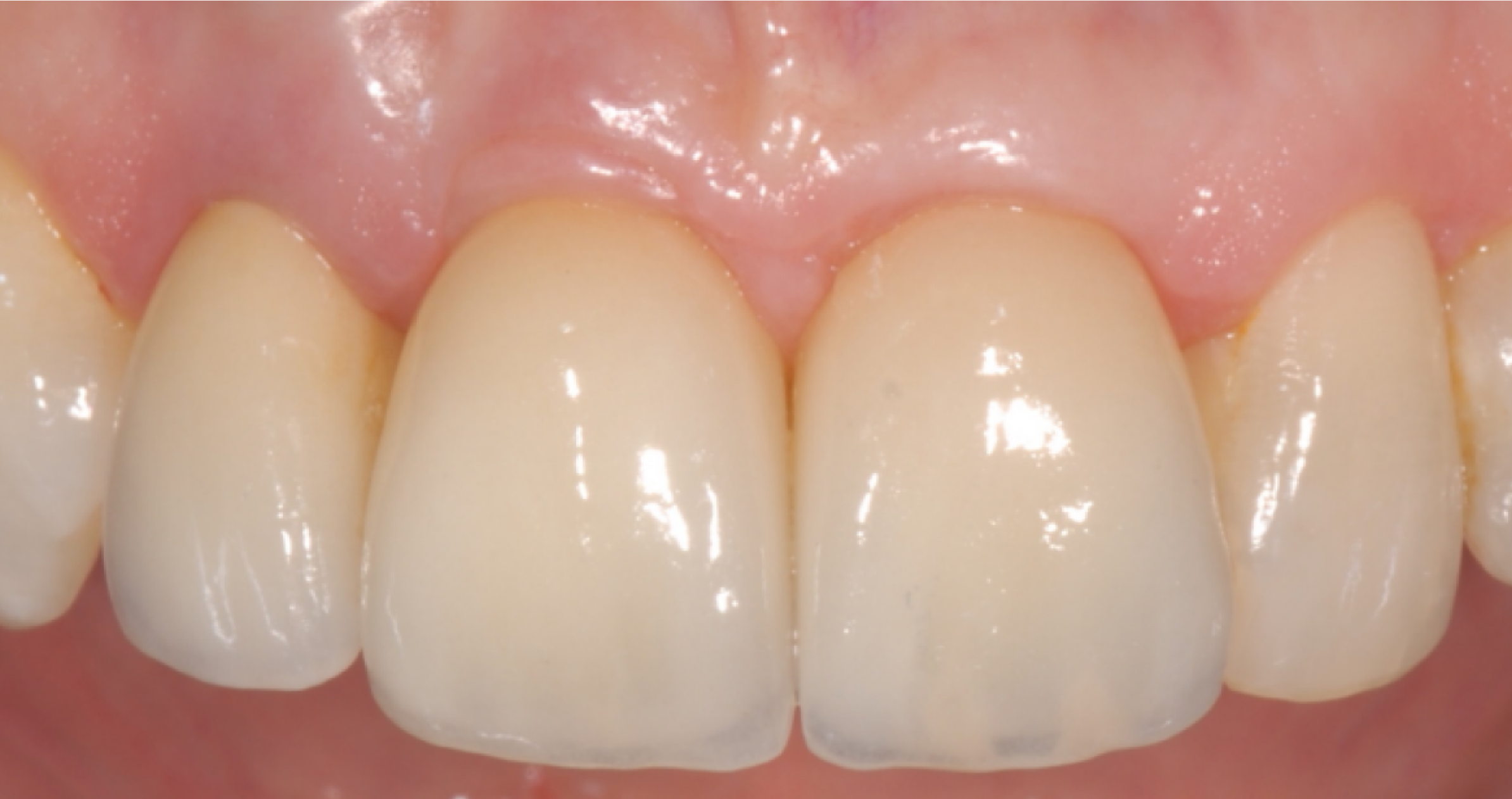
Cas clinique
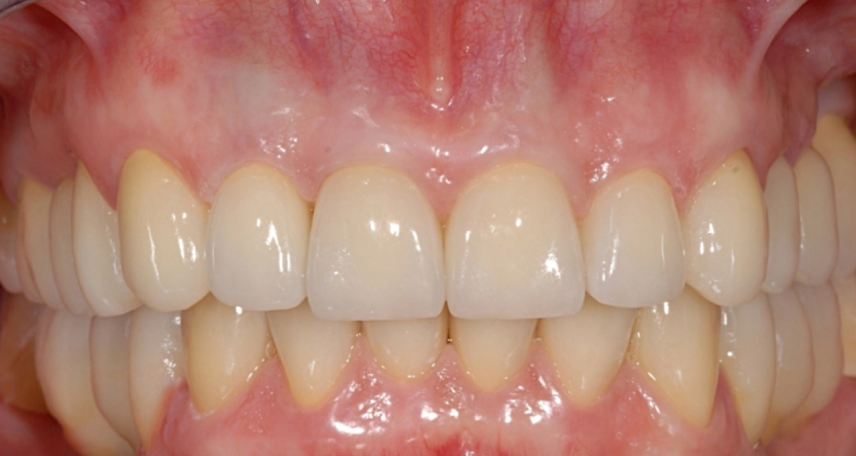
Pose d’un implant dentaire
Cas clinique

.png)